Case 1: Dental Trauma
Nicole shares her experience with us
Can you imagine a young country girl’s distress after being kicked in the face by her beloved horse in the middle of year 12?
The Trauma
Nicole enjoyed the perfect smile after finishing her orthodontic treatment at 17 years of age. Half way through Year 12, Nicole’s life changed dramatically. Her horse gave a nasty kick to the left side of her face. This resulted in a broken jaw, top and bottom, as well as severe tooth damage and loss.
“…Basically my smile was destroyed…”
Nicole went from a confident, social, 17 year old country girl with the perfect smile to being completely self-conscious about her appearance and unable to consume anything but liquids for months. She became constantly worried about what other people thought.
“It wasn’t a good feeling, going from having this gorgeous smile to hiding behind something so that people couldn’t see my smile…”
The Solution
Nicole underwent Dental Cosmetic Reconstruction to rebuild her fabulous smile. This resulted in a dramatic improvement in function and appearance. Missing teeth were replaced with dental implants and broken teeth were lengthened with porcelain veneers and crowns. Dr Lidums used her pre-accident photos as a guide for reconstructing her smile. To overcome her time and travel constraints, appointments were scheduled around her Year 12 study schedule. In most cases, treatment was performed the same day.
Nicole successfully completed her Year 12, entering into her chosen field of study, Physiotherapy, and attended her graduation ball with her reconstructed smile and renewed confidence.
The Outcome
Year 12 is stressful enough, and for Nicole, it was even more so.
Nicole entered the ‘Smelters Beauty Contest’ in Port Pirie halfway through treatment with temporary teeth in place and came second! She decided to enter a year later, with her new smile and won first prize! The important thing for Nicole was not winning the contest, it was the freedom to be herself and live her life on her terms with confidence.
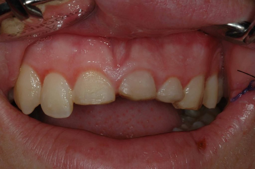
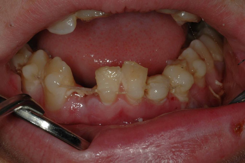
These photos show the condition Nicole’s teeth were in days after the accident and the steady and careful plan to rebuild and reconstruct her teeth and smile.
After initial soft tissue healing Nicole had a ‘Trial Smile’ to plan the work ahead. After a period of 18 months and seeing other Dental Specialists, we were able to rebuild Nicole’s teeth and smile, which allowed her to move on with her life and continue her studies.



What Our Customers Say
At Lidums Dental, caring for our patients is at the centre of everything we do.
We are grateful to the people who have trusted us with their smiles and taken the time to share their experiences.
Read their stories to see how our team has supported them and made a difference in their dental journeys.
Brands We Trust
Your care is only as good as the tools and materials behind it, so we choose them carefully.
We work with globally recognised, clinically proven systems that are TGA approved and backed by strong research, strict quality checks and reliable warranties.
This helps us deliver results that are precise, reliable and long lasting.
Our team look forward to chatting with you.
Our Affiliations






