Case 3: Tooth wear
Do you dream of showing your teeth with confidence?
Do you want natural looking teeth that light up every occasion?
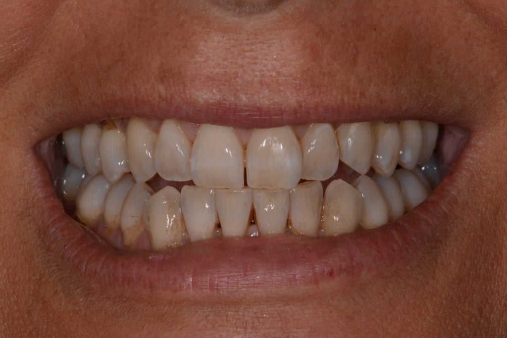
Jill faced the threat of losing all her teeth and her friends noticed she doesn’t smile much anymore and seems detached.
The Problem
Jill presented with significant tooth erosion and severe sensitivity to hot and cold food and liquids. She was a vivacious, confident business woman in Whyalla, but she had become insecure about the appearance of her shortened teeth. Her family, friends and colleagues had noticed she did not smile any¬more.
“I was the girl that didn’t smile…I was just so embarrassed about my teeth and just very conscious of them…I’d get dressed up to go somewhere and everything was perfect, except for my teeth…and when asked for a photo…I’d go to the back and hide behind everyone else!”
After several failed Root Canal Treatments, Jill was also facing the threat of losing teeth and desperately wanted to avoid dentures.
“When I first came to Arnis, my ultimate fear was that I was going to wear dentures, because I just didn’t think that with the way my teeth were…… that there was anything that could possibly be done.”

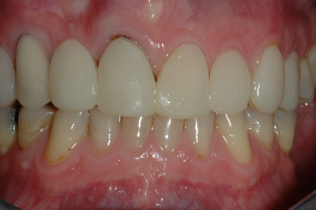
The Solution
After our assessment, Jill was relieved to learn that she could keep her teeth. Jill’s Dental Transformation involved tooth lengthening to gain the original tooth length.
The anticipated result was tested with a Trial Smile to assess the proposed appearance of the new teeth in her mouth. Veneers and crowns were then used to create a smile aimed to reignite Jill’s confidence so that she could share her bright, vivacious personality once again. Combinations of various materials (porcelain and composite resin) were used in order to keep the costs down.
The Outcome
The final result was designed to rebuild teeth back to their original form and function. The change was dramatic and aimed to improve display of teeth in photos and socially.
Some patients aren’t all as dramatic as Jill’s. We have patients who want a more youthful looking smile and feel that their smile has lost its sparkle or toothwear has caused uneven teeth which affects their ability to smile confidently. Lisa, Jeannette and Jeff were feeling that their teeth were not what they used to be. They achieved a more youthful look and gained more confidence to smile once their treatment was completed. Trial Smile’s for both Lisa, Jeannette and Jeff ensured we were on the same page when it came to the appearance of the smile and suitability for their personality. The results below really highlight how much an impact a smile can have on one’s ability to smile. In Jeannette and Jeff’s treatment they also required a dental implant, so careful planning ensured a really nice gum result. Information around this can be very technical and confusing, however, Dr Lidums has perfected the way to explain dental issues in a really simple way.
What Our Customers Say
At Lidums Dental, caring for our patients is at the centre of everything we do.
We are grateful to the people who have trusted us with their smiles and taken the time to share their experiences.
Read their stories to see how our team has supported them and made a difference in their dental journeys.
Brands We Trust
Your care is only as good as the tools and materials behind it, so we choose them carefully.
We work with globally recognised, clinically proven systems that are TGA approved and backed by strong research, strict quality checks and reliable warranties.
This helps us deliver results that are precise, reliable and long lasting.
Our team look forward to chatting with you.
Our Affiliations






