Case 4: Failing Teeth
Do you dream of showing your teeth with confidence?
Do you want natural looking teeth that light up every occasion?
Bob is ‘sick and tired’ of dental emergencies and wants a long-term restorative treatment that isn’t too expensive. Can he regain comfort and avoid more emergencies?
The Problem
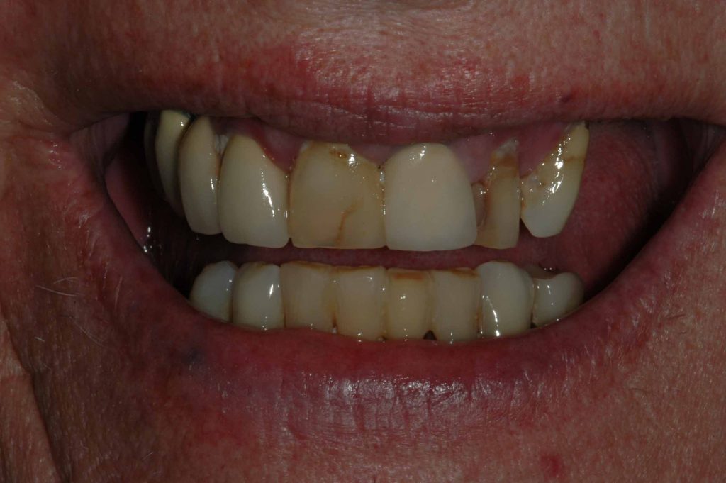
Bob is retired and had been seeing a local Dentist and Periodontist regularly for many years. He routinely had periodontal (gum) treatment and fillings done. Having chipped another front tooth, he was frustrated and made his first appointment with Dr Lidums to have it repaired. He said that every time he chewed down on it, he experienced a lot of pain.
It quickly became evident that despite Bob’s best efforts, numerous teeth were failing and in fact some were already showing signs of abscesses and advanced decay. Bob was going to lose all his teeth.
Dr Lidums was concerned about discussing the other dental issues that showed on the X-ray, especially since Bob had come to us only wanting one tooth fixed. “It is always difficult to be the bearer of bad news”, said Dr Lidums. However, during discussions, Bob informed us that he was sick of having dental emergency treatments and actually he did want to attend to his whole mouth. Bob had numerous concerns:
- He couldn’t eat meat any more as it would get wedged between his teeth and was very difficult and uncomfortable to remove. It was much easier to just not eat red meat any more.
- Many times, his teeth hurt when biting into food. This meant that in order to eat comfortably, he had to cut his food into very small pieces or have softer meals.
- Bob loves life and laughs a lot; however he often covered his mouth when smiling due to being embarrassed about his teeth.
- Bob hated the thought of wearing dentures – he has worked as a Chaplin in a Nursing Home and has seen first-hand the difficulties people have with them. He couldn’t stand the thought of having something he would have to remove, and neither did Trudy, his wife.

While discussing options, Bob was very concerned about finances and felt that he probably could not afford to have anything significant done. At this point, Trudy interrupted and advised Arnis that he should do whatever was required to get Bob back to being pain free and eating comfortably. “You let us work out the finances, let’s just get on with it. His comfort and health is too important.”
The Solution
Blue Print Planning (much like an architect’s Blueprint for a house) was performed and pre-work was done in our In-House Dental Laboratory to ensure the end result matched Bob’s personality and fitted well over the Dental Implants.
Bob’s remaining teeth and infections were removed and Immediate Dental Implant bridges (All-on-4 Technique) were placed on the same day. The All-on-4 Technique was used to provide a rapid solution and regain function and appearance quickly.
The Outcome
Bob’s failing teeth were removed and replaced to improve his ability to eat, maintain a healthy diet and once again smile with confidence. Bob delayed an overseas trip by a couple of years so that he could have his treatment and enjoy his smile and eat comfortably again.
What Our Customers Say
At Lidums Dental, caring for our patients is at the centre of everything we do.
We are grateful to the people who have trusted us with their smiles and taken the time to share their experiences.
Read their stories to see how our team has supported them and made a difference in their dental journeys.
Brands We Trust
Your care is only as good as the tools and materials behind it, so we choose them carefully.
We work with globally recognised, clinically proven systems that are TGA approved and backed by strong research, strict quality checks and reliable warranties.
This helps us deliver results that are precise, reliable and long lasting.
Our team look forward to chatting with you.
Our Affiliations






