Case 2: Diseased and Damaged Teeth
Do you dream of showing your teeth with confidence?
Do you want natural looking teeth that light up every occasion?
Liz was devastated when she lost her beautiful ‘wedding day smile’. Within three years of getting married, her teeth were failing due to dental disease. Liz also suffers from severe dental anxiety – how can she receive dental treatment now?
The Problem
When Liz got married she enjoyed a beautiful smile and vivacious personality. While on her honey-moon, she caught a bug that seriously affected her teeth. Things deteriorated severely and impacted on her health, comfort and confidence. Liz became more embarrassed about her smile and found this was starting to affect her wonderful way of connecting with the people in her life and her career.
One of Liz’s friends worked in our practice and told her about some of the extreme makeover treatments she had seen achieved for others. So Liz made a time to come and see us to discuss options.
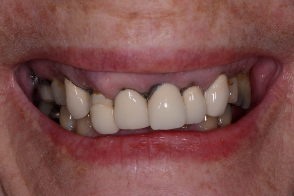
The Solution
Liz wanted to achieve a dental transformation to produce a dramatic change in function and appearance. Damaged and missing teeth were replaced with dental implants under general anaesthetic. Her new teeth are now beautiful and strong.
The Outcome
It was a huge change for Liz and the outcome has been transformation for her. Not only do her teeth look better, but facial aesthetics have improved.
We were able to improve the appearance of the lips so they now appear thicker, fuller and there are less visible creases around the corners of her lips. Liz enjoys her renewed confidence and now expresses herself more using her hands instead of covering her mouth with them. “People often ask me if I have Italian blood because I’m so animated.” She can now eat so confidently.
Having diseased gums and teeth can be such a stress, affecting our personal life as well as social. Not wanting to go out for fear of being judged or feeling embarrassed about the state of our mouths can make us want to pull away from society and lose our self-esteem. A visit to Lidums Dental has often been a breath of fresh air for our patients who say in the past they felt judged and now feel accepted for their situation which freed their minds to think through the process of having the treatment most suitable for them. Whether its repairing or replacing a few teeth or all teeth, the Team at Lidums Dental spend the time to build trust and understand the history of your situation so you can receive the best treatment.
What we have noticed is that tooth failure and loss can happen over generations. It’s not just ‘older people’ who suffer. We have had many young people suffering from tooth failure and loss due to family history, illness and medications. Some had family situations where they had to care for sick children or aging parents before they could attend to their own needs. They regained confidence, and could smile again. Some have even shared their experience on video so that others who are in similar situations can have hope if they are feeling dis-empowered by their dental situation. The patients below suffered from the anxiety of knowing their teeth were failing and wanting to avoid dentures. they chose the All-on-4 Teeth-in-a-Day Dental Implant Treatment and the results are obvious.
What Our Customers Say
At Lidums Dental, caring for our patients is at the centre of everything we do.
We are grateful to the people who have trusted us with their smiles and taken the time to share their experiences.
Read their stories to see how our team has supported them and made a difference in their dental journeys.
Brands We Trust
Your care is only as good as the tools and materials behind it, so we choose them carefully.
We work with globally recognised, clinically proven systems that are TGA approved and backed by strong research, strict quality checks and reliable warranties.
This helps us deliver results that are precise, reliable and long lasting.
Our team look forward to chatting with you.
Our Affiliations











