Immediate Dental Implants Adelaide
Looking for a faster tooth replacement option? We assess if you’re suitable for immediate implant placement and plan a stable, natural-looking result.
The Lidums Difference in Immediate Dental Implants
Our specialist team offers immediate dental implants planned with advanced digital technology, so you can enjoy a secure, natural feeling smile as comfortably and quickly as possible.
What Our Customers Say
At Lidums Dental, caring for our patients is at the centre of everything we do.
We are grateful to the people who have trusted us with their smiles and taken the time to share their experiences.
Read their stories to see how our team has supported them and made a difference in their dental journeys.
Experience the Lidums Dental difference.
Innovation, integrity and personalised care come together to support you at every step.
5 Reasons to Choose us
Passion and Expertise
At Lidums Dental you are in the hands of clinicians who are highly trained and genuinely love what they do. We focus on advanced restorative and cosmetic dentistry delivered with precision, honesty and a gentle touch.
An Invaluable Experience
For more than 40 years we have been helping patients feel more confident about their smiles. Many families have trusted us for generations, and we are proud of the consistent results we achieve.
Flexible Treatment Plans
Your goals and lifestyle guide every recommendation. We take time to understand your health, your priorities and your budget, then create a personalised treatment plan that feels achievable and makes sense for you.
State Of The Art Technology
Our dental centre is designed around modern technology, from digital scans to advanced treatment equipment. This allows us to plan with accuracy, minimise discomfort and provide care in a calm, relaxing environment.
Compassionate Partnership
From your first visit we listen, explain and involve you in every decision. Our aim is to build a long term partnership based on trust, respect and empathy so you always feel supported in your dental care.
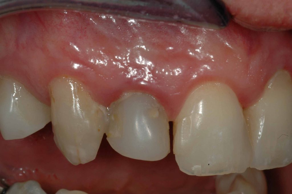
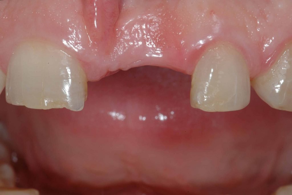
What are Immediate Implants
Immediate implants are a way of placing a dental implant and a new replacement tooth on the same day. Instead of wearing a loose denture while the implant heals, many patients can leave our practice with a fixed tooth already in place, enjoying a confident smile and comfortable chewing much sooner.
At Lidums Dental this approach is carefully planned using X rays and scans to check that the bone and gums are healthy enough to support an immediate implant. It can be an excellent option after trauma or tooth loss when you want to restore your smile quickly without compromising on strength or appearance.
Not everyone is suitable, so we look for good bone quality, healthy soft tissue, and the ability to follow a thorough after care routine while the implant integrates. When these boxes are ticked, immediate implants can offer a predictable, convenient solution that feels and looks very similar to a natural tooth.




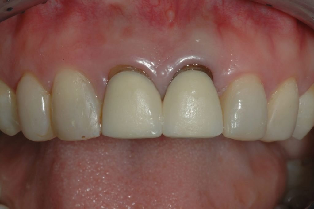
How Immediate Implants work
Immediate implants are planned very carefully before the day of treatment. At your consultation we take detailed X rays and 3D scans to check the health of your jaw bone and gums and to map out the exact position of the implant. This lets us see whether an immediate approach is suitable and gives you a clear idea of what to expect.
On the day, the failing tooth is removed and the implant is placed into the prepared site in the same visit. In many cases we can then attach a custom temporary tooth to the implant straight away, so you walk out without a gap or loose denture. Local anaesthetic is used so you stay comfortable throughout the procedure.
Over the next few months the implant bonds with the bone while you follow our after care instructions and attend review visits. Once healing is complete, the temporary tooth is replaced with a strong, long term crown that matches your other teeth in shape and colour, giving you a secure, natural feeling smile.
Pathway to Your New Teeth
High quality implant care in Adelaide, planned for comfort, function and confidence.
Consultation
Your journey starts with a thorough consultation. We talk through your concerns, medical and dental history and take detailed X rays and scans. This helps us understand whether traditional or immediate implants are right for you and gives you a clear picture of what to expect.
Digitally Guided Planning
Immediate Teeth Where Suitable
Reliable, Long Term Results
Payment and Ongoing Care
Recovery time for immediate dental implants: what to expect
At Lidums Dental, careful planning and modern techniques are used to make implant treatment as comfortable as possible. It is normal to have some tenderness, swelling or bruising for a few days as your mouth heals, especially in the first 48 hours. Many people who have one or two implants without bone grafting feel ready to return to normal daily activities within a day or two, while more complex cases may take a little longer.
Our team will give you clear after care instructions tailored to your situation. This may include sticking to softer foods for a short time, keeping the area clean with gentle brushing and mouth rinses, and using appropriate over the counter pain relief if needed, as advised by your dentist. Follow up visits are scheduled to check healing and make sure your implant and new tooth are on track for a strong, long term result.
Immediate Dental Implants at Lidums Dental Adelaide
We provide carefully planned immediate implant solutions, from traditional to same day options, to help you enjoy a secure, natural feeling smile you are proud to show.
Interest free payment plan options are available.
One of the Most Advanced Dental Implant Centres in Adelaide
At Lidums Dental, experience, technology and thoughtful design come together to support precise, comfortable implant treatment and strong long term results.
Brands We Trust
Your care is only as good as the tools and materials behind it, so we choose them carefully.
We work with globally recognised, clinically proven systems that are TGA approved and backed by strong research, strict quality checks and reliable warranties.
This helps us deliver results that are precise, reliable and long lasting.
Our team look forward to chatting with you.
Our Affiliations






